Equipamentos para o processo de Raio X

NOÇÕES BÁSICAS EM AUXILIAR DE RADIOLOGIA ODONTOLÓGICA

1 Equipamentos radiológicos:

Normas para a instalação de equipamentos de Raio X:

 

A aplicação deste regulamento implica em reavaliações de instalações, equipamentos, procedimentos, qualificação profissional e de práticas. Desta forma, ficam concedidos prazos diferenciais para o cumprimento dos requisitos discriminados neste Capítulo. As autoridades sanitárias locais podem reduzir em atos normativos os prazos estabelecidos. 

As exigências abaixo devem ser atendidas no menor tempo possível, não ultrapassando os prazos indicados, contados a partir da data de publicação deste Regulamento.

  • Um ano para que sejam adquiridos apenas equipamentos que atendam aos itens relativos à certificação de blindagem do cabeçote e teste de aceitação. Os equipamentos já instalados devem ser avaliados por um especialista em física de radiodiagnóstico (ou certificação equivalente) no prazo máximo de três anos;

  • Quatro anos para que as exigências relativas à qualificação profissional sejam cumpridas;

  • Três anos para implantação do sistema de garantia da qualidade e respectivos assentamentos.

  • Um ano para que sejam desativados ou substituídos os equipamentos de abreugrafia convencional.

  • Cinco anos para substituir os atuais sistemas convencionais de fluoroscopia por sistema com intensificador de imagem. A partir da data da publicação deste Regulamento Técnico somente devem ser instalados equipamentos de fluoroscopia com intensificadores de imagem.

  • Um ano para que sejam substituídos ou desativados os sistemas de disparo com retardo de raios-x de uso odontológico.

  • Um ano para que sejam substituídos nos equipamentos odontológicos os controladores de duração de exposição mecânicos por eletrônicos e com sistema de disparo do tipo dead-man.

  • Três anos para atendimento dos requisitos de calibração dos instrumentos de dosimetria de feixe e de monitoração de área.

  •  Um ano para que sejam utilizados em radiografias apenas filmes verdes e telas intensificadoras de terras raras correspondentes, ou outros receptores de imagem com sensibilidade maior ou igual.

 

Até que sejam concluídos os estudos de implementação do sistema de calibração em termos das novas grandezas operacionais no LNMRI-IRD/CNEN, devem ser utilizadas as seguintes grandezas:

  • Dose individual, para monitoração individual visando a estimativa da dose efetiva em exposições ocupacionais.

  • Dose de extremidade, para estimativa da dose equivalente nas extremidades em exposições ocupacionais.

  • Dose externa, para monitoração do ambiente de trabalho e sua circunvizinhança.

Observação: Calibrar é o processo de adequar um equipamento a sua configuração padrão de operação para o fim como desejado.

 

No próximo capítulo iremos falar o que são os equipamentos de Raio X odontológico e quais suas especificações.

2 O que é, e quais as funções do Aparelho de Raio X odontológico:

 

 

Funções do aparelho de raio x Odontológico

 

O aparelho de raio x odontológico além de facilitar diagnósticos bucais, também auxilia no planejamento e em acompanhamentos de um tratamento odontológico.

O equipamento tem como função mostrar radiograficamente algumas doenças ou problemas bucais. Segue algum delas:

  • Cáries dentárias escondidas entre os dentes ou abaixo de restaurações;

  • Perda óssea na cavidade oral;

  • Desenvolvimento de fissuras nos dentes;

  • Infecções nos canais das raízes;

  • Cistos dentígeros;

  • Câncer de boca;

  • Tratamento de canal;

  • Lesões na boca.

 

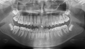
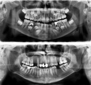
Tipos de aparelho de Raio x Odontológico:

A radiografia dentária é dividida em dois tipos.

A radiografia intrabucal, que é realizada na parte interior da boca, e a extrabucal que é realizada na parte exterior da boca.

 

Radiografia Intrabucal:

 

Radiografia intrabucal: o exame radiográfico realizado dentro da boca pode ser interproximal, periapical ou oclusal. O exame interproximal, também conhecido como bitewing, visa conhecer a mordida do paciente de forma detalhada. Dessa maneira, é possível identificar a presença de cáries, por exemplo. O exame periapical tem como foco o reconhecimento do dente por completo, incluindo a coroa dentária e seu osso de sustentação. Já o exame oclusal possibilita que o profissional observe o assoalho bucal. Assim, o profissional da odontologia consegue enxergar melhor a mordida a partir de cima.

 

Radiografia Extrabucais:

 

No próximo capitulo iremos saber quais as especificações do equipamento e sua versificação de desempenho.  

 

 

3 Especificações do equipamento:

Características do equipamento de Raio X odontológico:

 

As características especificadas em todos os equipamentos de radiodiagnóstico deve possuir:  

  • Condições técnicas  de acordo com o padrão especificados pelo regulamento de radiologia;

  • Blindagem no cabeçote para garantir o mínimo de radiação possível;

  • Filtração total permanente do feixe útil de radiação de, no mínimo o equivalente a: 2,5 mm de alumínio, ou 0,03 mm de molibdênio para equipamentos de mamografia;

  • Diafragma regulável com localização luminosa para limitar o campo de radiação à região de interesse clínico. Equipamentos que operam com distância foco-filme fixa podem possuir colimador regulável sem localização luminosa ou colimadores cônicos convencionais, desde que seja possível variar e identificar os tamanhos de campo de radiação;

  • Sistema para identificar quando o eixo do feixe de radiação está perpendicular ao plano do receptor de imagem e para ajustar o centro do feixe de radiação em relação ao centro do receptor de imagem, nos equipamentos fixos;

  • indicação visual do tubo selecionado no painel de controle, para equipamentos com mais de um tubo;

  •  Cabo disparador com comprimento mínimo de 2 m, nos equipamentos móveis;

  • Suporte do cabeçote ajustável, de modo a manter o tubo estável durante uma exposição, a menos que o movimento do cabeçote seja uma função projetada do equipamento.

 

Os sistemas de radiografia convencional devem possuir gerador do tipo pulsado retificado ou de armazenamento de carga. Fica proibida a utilização de sistemas auto-retificados ou retificação de meia onda. Quando houver sistema de controle automático de exposição, o painel de controle deve possuir uma indicação clara de quando se utiliza este modo de operação.

A absorção produzida pela mesa ou pelo porta-chassis vertical deve ser, no máximo, o equivalente a 1,2 mm de alumínio, a 100 kVp.

A absorção produzida pela mesa ou pelo porta-chassis vertical deve ser, no máximo, o equivalente a 1,2 mm de alumínio, a 100 kVp

  • Sistema de intensificação de imagem.

  •  Dispositivo para selecionar um tempo acumulado de fluoroscopia. Este tempo não deve exceder 5 min sem que o dispositivo seja reajustado. Um alarme sonoro deve indicar o término do tempo pré-selecionado e continuar soando enquanto os raios-x são emitidos, até que o dispositivo seja reajustado. Decorridos 10 min sem que seja reajustado o dispositivo, a exposição será interrompida. Alternativamente, o dispositivo pode interromper a exposição ao final do tempo selecionado.

 

Verificação de desempenho do equipamento de raio X:

 

Todo equipamento de Raio x diagnóstico deve ser mantido em condições adequadas de funcionamento e submetido regularmente a verificações de desempenho.  

No artigo 4.49 da portaria 453 apresenta padrões de desempenho que os testes semanais e semestrais de CQ devem apresentar. Esses padrões são reproduzidos  a seguir:

  •   Os níveis de radiação de fuga são definidos a 1 m do foco, fora do feixe primário. Cada ponto de medida no campo de radiação pode ser dado pelo valor médio obtido em uma área de medição de 100 cm2, com dimensão linear que não exceda 20 cm.

  • A taxa de kerma no ar em fluoroscopia deve ser inferior a 50 mGy/min na entrada da pele do paciente, na menor distância (foco pele) de operação, exceto durante cine ou quando o sistema opcional de alto nível estiver ativado. Se o tubo estiver sob a mesa, as medidas devem ser realizadas a 1 cm sobre a mesa ou berço.

  • O indicador de tensão do tubo deve apresentar um desvio (diferença entre o valor nominal e o valor medido) no intervalo de tolerância de 10% em qualquer corrente de tubo selecionada, exceto para equipamentos de mamografia, que devem apresentar um desvio no intervalo de tolerância de 2 kV.

  • O indicador de tempo de exposição deve apresentar desvio (diferença entre o valor nominal e o valor medido) no intervalo de tolerância de 10% em qualquer tempo de exposição selecionado.

  • O valor da camada semirredutora do feixe útil não deve ser menor que o valor mostrado na Tabela I, para uma dada tensão do tubo e fase, de modo a demonstrar conformidade com os requisitos de filtração mínima. Valores intermediários podem ser obtidos por interpolação.

  • O eixo central do feixe de raios X deve apresentar desvio de alinhamento menor que 3 graus em relação ao eixo perpendicular ao plano do receptor de imagem.

  • Para uma tensão de tubo de 80 kV, o rendimento de um sistema com gerador trifásico ou multipulso com filtração apropriada deve estar no intervalo de 4,8 a 6,4 mGy m2 / mAmin, e para um gerador monofásico com retificação de onda completa, deve estar entre 2,4 a 4,8 mGy m2 / mA min.

  • Para uma dada tensão do tubo, a taxa de kerma no ar deve ser linear com o produto da corrente pelo tempo (mAs) para a faixa de corrente e de tempo utilizados rotineiramente. O desvio (diferença entre duas taxas de kerma no ar expressas em mGy/mAs) máximo não deve ultrapassar 20% do valor médio, para todas as combinações de tempo e corrente comumente utilizadas.

  • A taxa de kerma no ar com sistema automático de exposição deve ser reprodutível em 10%.

  • Para colimadores ajustáveis e com indicação visual do campo, o desalinhamento entre as bordas do campo visual e do campo de raios X deve ser menor que 2% da distância foco filme.
    Os sistemas de radiografia de mama devem ser capazes de identificar a imagem de uma fibra de 0,75 mm, uma microcalcificação de 0,32 mm e uma massa de 0,75 mm no fantoma, equivalente ao adotado pelo ACR.

 

Sistema Radiológico (assentamento de dados):

 

A Portaria do Ministério da Saúde, exige um sistema de assentamento dos dados de cada  procedimento realizado, tais como:

  • Data;

  • Identificação dos pacientes e suas características físicas;

  • Indicação clínica do exame;

  • Técnica radiográfica que será usada;

  • Quantidade de filmes utilizados, entre outros.

Os resultados dos testes exigidos na Portaria devem estar registrados para serem comparados aos padrões de desempenho especificados. Destacam-se os seguintes testes: exatidão da tensão de pico (kVp), exatidão do tempo de exposição, exatidão do sistema de colimação, rendimento do tubo, sensitometria do sistema de processamento, além de testes específicos para fluoroscopia, tomografia computadorizada e mamografia.

O controle ocupacional, contendo o histórico dosimétrico de cada indivíduo ocupacionalmente exposto e de todas as ocorrências relativas à monitoração individual, deve, também, estar assentado. É exigido o assentamento dos treinamentos realizados dos levantamentos radiométricos. Estes assentamentos demandam organização na coleta e transmissão desses dados.

 

Padrão dos equipamentos de Radiodiagnósticos:

 

Todo equipamento de Raio- X diagnósticos importado ou fabricado no País deve estar de acordo com os padrões nacionais, com os padrões nacionais, com padrões internacionais que o Brasil tenha acordado, além dos requisitos estabelecidos no Regulamento.

Todo equipamento de raios-x diagnósticos deve ser projetado e construído visando garantir:

  • Facilidade na execução de exposições médicas a níveis baixos;

  • Eventuais falhas, para prevenir a exposição não planejadas de pacientes e equipe;

  • Que seja mínima a probabilidade de erro humano como causa de exposições não planejadas.

 

O equipamento deve possuir: 

Todo equipamento de raio x legal deve ter a documentação fornecida pelo fabricantes relativa às características: 

  • Técnicas;

  •  Especificações de desempenho;

  •  Instruções de operação;

  •  Manutenção e proteção radiológica, com tradução para a língua portuguesa, quando se tratar de equipamento importado. 

 

Constituição do aparelho:

 

Gerador:

Quando o aparelho é ligado, o gerador de raios X produz um feixe de radiação. Essas partículas saem pela abertura do equipamento e são irradiadas até atingirem a parte do corpo que será examinada.

 

Tubo:

O tubo (ampola) é composta por envoltório normalmente constituído de vidro pirex, resistente ao calor, lacrado, e com vácuo formado no seu interior onde são encontrados o cátodo (polo negativo), posicionados a determinada distância um do outro e soldados no corpo do tubo em posição axial oposta. 

 

Cabeçote:

Local em que se encontra a ampola (tubo) de raios x, onde se produz a radiação propriamente dita

 

Mesa e sistema de colimação:

O aparelho costuma ficar fixo na sala usada para radiografias. Ele é composto por uma mesa horizontal, que se movimenta em todas as direções para focar a parte de corpo que será examinada.

Local onde são colocados, além do paciente, alguns acessórios, como o porta-chassi, a grade antidifusora e a faixa de compressão.

Observações:

  • O botão disparador deve ser instalado de tal forma que seja difícil efetuar uma exposição acidental; o cabeçote deve ser blindado; todo equipamento com anodo rotatório deve ter dois estágios de acionamento do feixe.
  • Não deve ser autorizada a importação de equipamentos de raios-x cuja utilização tenha sido proibida por razões sanitárias no país de origem ou por recomendação explícita de organismos internacionais.

  • Equipamentos de raios-x diagnósticos usados, reformados ou reconstruídos somente podem ser comercializados mediante documentos comprobatórios de teste de desempenho que demonstrem o cumprimento de todos os requisitos estabelecidos neste Regulamento Técnico.

 

Garantia da qualidade:

 

A verificação periódica dos parâmetros técnicos dos equipamentos de raios X e dos sistemas de registro de imagem visa melhorar a qualidade da imagem, reduzir a exposição do paciente e eliminar toda a radiação que não contribua para a formação da imagem útil.

A necessidade de se garantir a qualidade das imagens radiográficas, dos equipamentos e dos procedimentos relacionados a este processo é para se evitar diagnósticos errados e não-conclusivos que possam levar a uma nova exposição do paciente, acarretando doses desnecessárias e aumento dos custos, devido principalmente à repetição de exames, além do desgaste do equipamento.

O sistema de garantia da qualidade estabelecido e implementado pelo titular deve seguir os seguintes pontos como objetivo:

  • Verificar através de testes, a manutenção das características técnicas e requisitos dos equipamentos de raios- x e do sistema de detecção por imagem;

  • Identificar as informações fornecidas pelos fabricantes, possíveis falhas do equipamento e erros humanos  que possam resultar em exposições desnecessárias;

  • Operar os equipamentos de forma exigida no Regulamento ;

  • Determinar os valores representativos das doses administradas nos pacientes em decorrência dos exames realizados no serviço e verificar se podem ser reduzidas, levando-se em consideração os níveis de referência de radiodiagnóstico estabelecidos neste Regulamento;

  • Verificar a adequação da calibração e das condições de operação dos instrumentos de monitoração e de dosimetria de feixe;

  • Averiguar a eficácia do programa de treinamento implementado.

O programa de garantia de qualidade deve incluir o assentamento dos testes e avaliações realizadas e os resultados obtidos, assim como a documentação e verificação dos procedimentos operacionais e das tabelas de exposição, considerando os requisitos de proteção radiológica estabelecidos neste Regulamento.

Os titulares devem implementar auditorias periódicas, internas ou externas, para rever a execução e a garantia da qualidade.

Observações:

Após a troca de tubo ou colimador, a manutenção e blindagem  do cabeçote deve ser comprovada novamente por especialista de radiodiagnóstico ou pelo fabricante. 

Os instrumentos para medição de níveis de radiação em levantamentos radiométricos e dosimetria de feixe devem ser calibrados a cada 2 anos em laboratórios credenciados, rastreados à rede nacional ou internacional de metrologia das radiações ionizantes, nas qualidades de feixes de raios-x diagnósticos.

 

Equipamento intra oral:

 

Em adição às características gerais aplicáveis, todo equipamento de raios-x para uso odontológico deve atender aos seguintes requisitos:

Tensão:

  • Em radiografias intra-orais, a tensão no tubo de raios-x deve ser maior ou igual a 50 kVp, preferencialmente maior que 60 kVp;

  • Equipamentos para radiografias extra-orais não devem possuir tensão inferior a 60 kVp.

Filtração total:

  • Equipamentos com tensão de tubo inferior ou igual a 70 kVp devem possuir uma filtração total permanente não inferior ao equivalente a 1,5 mm de alumínio;

  • Equipamentos com tensão de tubo superior a 70 kVp devem possuir uma filtração total permanente não inferior ao equivalente a 2,5 mm de alumínio (BRASIL, 1998).

Radiação de fuga:

  • Em radiografias intra-orais, o cabeçote deve estar adequadamente blindado de modo a garantir um nível mínimo de radiação de fuga, limitada a uma taxa de kerma no ar máxima de 0,25 mGy/h a 1 m do ponto focal, quando operado em condições de ensaio de fuga;

  • Para outros equipamentos emissores de raios-x, os requisitos para radiação de fuga são os mesmos estabelecidos para radiodiagnóstico médico.

Colimação:

  • Todo equipamento de raios-x deve possuir um sistema de colimação para limitar o campo de raios-x ao mínimo necessário para cobrir a área em exame;

  • Para radiografias intra-orais o diâmetro do campo não deve ser superior a 6 cm na extremidade de saída do localizador. Valores entre 4 e 5 cm são permitidos apenas quando houver um sistema de alinhamento e posicionamento do filme;

  • Em radiografias extra-orais é obrigatório o uso de colimadores retangulares (BRASIL, 1998).

Distância foco pele:

  • Equipamentos para radiografias intra-orais devem possuir um localizador de extremidade de saída aberta para posicionar o feixe e limitar a distância foco-pele;

  • O localizador deve ser tal que a distância foco-pele seja de, no mínimo, 18 cm para tensão de tubo menor ou igual a 60 kVp, no mínimo de 20 cm para tensão entre 60 e 70 kVp (inclusive) e, no mínimo, 24 cm para tensão maior que 70 kVp;

  • O localizador e o diafragma/colimador devem ser construídos de modo que o feixe primário não interaja com a extremidade de saída do localizador.

Duração de exposição:

  • A duração da exposição pode ser indicada em termos de tempo ou em número de pulsos;

  • O sistema de controle da duração da exposição deve ser do tipo eletrônico e não deve permitir exposição com duração superior a 5 segundos;

  • Deve haver um sistema para garantir que raios-x não sejam emitidos quando o indicador de tempo de exposição se encontrar na posição "zero" e o disparador for pressionado.

No próximo capítulo iremos saber como deve ser o ambiente da sala de Raio X Odontológico.

4 Ambiente das salas de Raio X:

Como deve ser o ambiente de radiodiagnóstico:

 

Sala de Raio X:

 

Os ambientes do estabelecimento  de saúde que emprega os raios-x devem estar em conformidade com as normas estabelecidas pelo ministério da saúde para projetos físicos de estabelecimentos assistenciais de saúde.

 

Blindagem:

 

A blindagem da sala de radiologia deve ser feita de acordo com as normas estabelecidas pela legislação. A blindagem da sala de radiologia deve ser bem feita , principalmente por riscos de vazamento.

Para que a blindagem da sala de radiologia seja eficaz e atenda os padrões mínimos para funcionamento dentro da legalidade, é imprescindível um projeto de blindagem.

  • As salas de raios-x devem dispor de paredes, piso, teto, visor e portas radiológicas. 

  • A altura mínima para a blindagem da sala de radiologia é 210 cm, a partir do piso.

  • Quando o projeto tem parede com "bucky mural" para exames radiológicos do tórax, a área onde ele fica é atingida pelo feixe primário de radiação.

  • As cabines de comando onde o operador do aparelho atua, também devem estar protegidas, garantindo assim sua integridade física. 

  • Existem também biombos radiológicos, que fazem parte do projeto de blindagem da sala de radiologia, onde fica o operador do aparelho, o técnico em radiologia.

  • Tanto a cabine quanto o biombo devem permitir ao operador o manuseio do aparelho e a visualização do paciente durante o exame radiológico. Ambos devem estar posicionados de forma que, qualquer indivíduo que adentra o ambiente seja visto pelo operador do equipamento.

 

Ambiente:

 

Além da blindagem da sala de radiologia também precisa ter sinalização externa, para evitar a entrada de terceiros que não são da equipe  e que não são pacientes. 

A sinalização deve ser vermelha e visível do lado externo da sala. Deve ser acesa durante todo atendimento e no processamento do exame. 

 

Proteção individual:

Vestimentas de proteção individual para pacientes, equipe e acompanhantes, e todos acessórios necessários aos procedimentos previstos para a sala, conforme estabelecido neste Regulamento. Deve haver suportes apropriados para sustentar os aventais plumbíferos de modo a preservar a sua integridade.

 

Permanência de acompanhantes:

 

Salas de raio-X devem dispor de sinalização de proteção radiológica que restringe a permanência de acompanhantes na sala durante o exame, a ser reforçada por orientação dos técnicos responsáveis.

Importante:

Não é permitida a permanência de acompanhantes na sala durante o exame, salvo quando estritamente necessário e autorizado.

 

Sinalização e controle do equipamento

 

Cada equipamento de Raio X deve ser mantido um protocolo de técnicas Radiográficas, ou seja, a tabela de exposição. Cada tabela deve ser especificado cada tipo de exame que será realizado com as seguintes informações:

  • O tipo de exame na tabela deve ter cada (espessura e partes anatômicas do paciente) e  os fatores da técnica radiográfica;

  • Tamanho e tipo de combinação do filme;

  • Distância foco-filme;

  • Tipo e posicionamento da blindagem a ser usada no paciente;

  • Quando determinado pela autoridade sanitária local, restrições de operação do equipamento e procedimentos de segurança.

Importante: 

  • Na sala de radiodiagnóstico não é permitido a instalação de mais de um equipamento de Raio X.

  • O serviço de radiodiagnóstico deve implantar um sistema de controle de exposição médica de modo a evitar exposição inadvertida de pacientes grávidas, incluindo avisos de advertência como:

‘’Mulheres grávidas ou com suspeitas de gravidez: favor informarem ao médico ou técnico antes do exame.”

 

Ambiente do equipamento de radiografia intrabucal e extrabucal :

 

Deve ser instalado em sala ou consultório, o equipamento de radiografia intrabucal com dimensões onde a equipe deve ficar distante do cabeçote pelo menos 2 metros de distância.

Esses equipamentos devem ser instalados em sala específica, atendendo todos os requisitos do radiodiagnóstico médico.

As salas onde vão ser instalados os equipamentos devem possuir:

  • Sinalização visível nas portas de acesso, contendo o símbolo internacional da radiação ionizante acompanhado da inscrição: raios-x, entrada restrita ou raios-x, entrada proibida a pessoas não autorizadas;

  • Placas com orientação visível sobre proteção radiológica, veja algumas delas a seguir: 

 -  Paciente, exija e use corretamente vestimenta plumbífera para sua proteção durante exame radiográfico;

 -  Não é permitida a permanência de acompanhantes na sala durante o exame radiológico, salvo quando estritamente necessário;

 - Acompanhante, quando houver necessidade de contenção de paciente, exija e use corretamente vestimenta plumbífera para sua proteção durante exame radiológico.

 

Instalação adequada para revelação dos filmes:

 

O tipo de adequação para a câmara escura, radiografias intra- orais e revelação manual.

A câmara escura  deve ser construída de modo a prevenir a formação de véu nos filmes; deve ser equipada com lanterna de segurança apropriada ao tipo de filme e possuir um sistema de exaustão adequado.

Para radiografias intraorais, pode ser permitida a utilização de câmaras portáteis de revelação manual, desde que confeccionadas com material opaco.

Para revelação manual, deve estar disponível no local um cronômetro, um termômetro e uma tabela de revelação para garantir o processamento nas condições especificadas pelo fabricante.