Traumatismos Craniencefálicos

Noções Básicas em Eletroencefalograma

1 Traumatismos Craniencefálicos:

Epidemiologia

 

te causa de morbidade e mortalidade na população, principalmente entre adolescentes e adultos jovens (Almeida & Riccciardi-Cruz, 1980; Cooper, 1993: Jennett & Teasdale, 1981). No Hospital das Clínicas da Faculdade de Medicina de Ribeirão Preto, levantamento realizado nos anos de 1990 a 1992 (Colli et al., 1997), mostrou uma média de 1156 casos por ano, sendo 72,5% em pacientes do sexo masculino e 27,5% em pacientes do sexo feminino. Em relação à faixa etária 46,2% estavam entre 0 e 15 anos, 29,8% entre 16 e 30 anos, 13,26% entre 31 e 45 anos e 10,74% acima de 45 anos. Os fatores que provocaram os traumatismos são apresentados na Tabela 1. A gravidade dos traumatismos, medida pela Escala de Coma de Glasgow (ECG) , mostrou que 6,6% foram graves (graus 3 a 8); 9,14% foram moderados (graus 9 a 12) e 79,5% foram leves (graus 13 a 15. Do total de pacientes, 10% necessitaram de tratamento cirúrgico, sendo que 8,36% (93 pacientes/ano) evoluíram para óbito, ficaram em estado vegetativo ou dependentes para atividades diárias.

Os acidentes com veículos em movimentos são os principais provocadores do TCE e acontecem por deslocamento do indivíduo dentro do veículo, durante o choque, ou seja, por impacto contra o párabrisa, o volante, o painel e outras saliências , seja por ejeção do veículo, que provoca as lesões mais graves. Para a prevenção destas lesões, medidas de segurança têm sido adotadas nos veículos novos, como os mecanismos que diminuem a movimentação do corpo durante as acelerações e desacelerações bruscas (cinto de segurança e apoiadores de cabeça), e medidas que reduzem o efeito dos impactos do corpo dentro de veículo (remoção de saliências e acolchoamento e estrutura no interior do veículo e air bag). Entretanto, a contribuição maior só virá com a educação do motorista, em relação à disciplina no trânsito e a sua conscientização e sobre a necessidade de conservação do veículo, e do uso dos mecanismos de segurança, dos quais os veículos são providos como, por exemplo, o cinto de segurança, ou então do uso de capacetes apropriados por ciclistas e motociclistas.

 

2 Fisiopatologia:

 

Embora, geralmente, ocorram associadas, por razões didáticas, as lesões das diferentes estruturas do crânio, dos seus envoltórios e do seu conteúdo serão consideradas separadamente.

 

Lesões dos Envoltórios do Crânio

 

(couro cabeludo, gálea e periósteo).

Os envoltórios do crânio possuem a função de proteger a caixa craniana e seu conteúdo, atuando como minimizadores das forças traumáticas.

Os traumas dos envoltórios são provocados por lesões diretas causados por instrumentos cortantes, perfurantes ou contundentes e, dependendo da angulação de incidência da força de impacto, podem ser observados desde lesões cortantes simples até escalpelamentos completos, com perda de substância. A importância destas lesões deve-se à grande vascularização do couro cabeludo, que pode provocar perdas sangüíneas graves e, secundariamente, lesões encefálicas por isquemia (Rowbothan, 1964).

 

Fraturas do Crânio

 

As fraturas do crânio ocorrem por mecanismo de deformação local (choque de pequena massa, em alta velocidade, que ocasiona uma depressão na tábua óssea em forma de cone, com a base voltada para a tábua externa) [Figuras 1 e 2], e por mecanismo de deformação geral (compressão em um dos eixos do crânio, determinando o alongamento do diâmetro oposto) [Rowbothan, 1964].

Dependendo da intensidade do trauma solução de continuidade do osso pode apresentar desde uma simples depressão transitória que resulta em uma fratura linear no ponto de impacto ou uma fratura circular completa, com fragmentação e afundamento. Tem grande importância a existência de comunicação do interior da caixa craniana com o meio externo, seja por um ferimento acima da fratura, ou através de fraturas que estejam em contato com cavidades aeradas da face e do crânio (seio frontal e cavidade nasal, nas fraturas fronto-basais e células da mastóide, nas fraturas do rochedo.

 

Lesões Cerebrais

 

O conhecimento da fisiopatologia das lesões cerebrais baseia-se em estudos com animais, simulando os traumatismos humanos, em estudos histopatológicos realizados em pacientes que evoluem para óbito e em exames realizados em vida, como a tomografia computadorizada, monitorização da pressão intracraniana, medida de fluxo sanguíneo cerebral e outros (Adams et al., 1977; Miller & Becker, 1982; Ommaya, 1982).

A partir destes estudos as lesões cerebrais foram divididas em lesões primárias, que ocorrem no momento do trauma e lesões secundárias que resultam de complicações ocorridas após o trauma.

 

Lesões Cerebrais Primárias

 

Contusão Cerebral

É caracterizada pelos achados histopatológicos de hemorragia, edema e necrose na superfície dos giros cerebrais. Estas lesões são resultantes da movimentação do encéfalo, em relação ao crânio quando do impacto, causada pela aceração ou desaceleração brusca do crânio e choque do encéfalo contra as estruturas ósseas.

 

 

As irregularidades nos assoalhos da fossa anterior e média, e a asa do esfenóide, atuando respectivamente como áreas de atrito e de impacto do encéfalo em movimento, determinam que a contusão cerebral ocorra com uma freqüência maior, na re-gião basal do lobo frontal e na ponta do lobo temporal (Miller & Becker, 1982).

Quando o impacto é muito intenso, pode haver perda da integridade do parênquima, o que caracteriza a laceração cerebral, que, também, ocorre nos casos de fraturas afundadas ou por lesões causadas por objetos que penetram no parênquima (arma branca, projétil de arma de fogo e outros).

A contusão cerebral, apesar de ser uma lesão primária, tem um caráter evolutivo, pois pode apresentar aumento importante resultante de edema e de hemorragia nas horas subsequentes ao trauma.

Lesão Axonal Difusa da Substância Branca.

É a entidade mais recentemente descrita (Adams et al., 1977), e considerada como o mecanismo mais importante de lesões primárias. Esta entidade caracteriza-se por uma lesão dos axônios que estão na substância branca e que ocorre em vá-rios locais do encéfalo. A lesão axonal resulta de seu estiramento, que pode provocar uma alteração na transmissão axonal, portanto uma alteração transitória, ou então uma lesão anatômica. Na fase aguda, as alterações histopatológicas observadas são pequenos focos de hemorragia ao redor do local de lesão, "bolas de retração" (alargamento dos axônios em seu ponto de lesão, causados pela deposição de substâncias provenientes do fluxo axonal) e, posteriormente, pequenos focos de cicatrização da micróglia. Na fase crônica, a lesão evolui para degeneração axonal importante com atrofia da substância branca e dilatação ventricular, poupando a substância cinzenta.

O mecanismo de lesão é mecânico e pode ser devido a forças de cisalhamento, que ocorrem no córtex, quando há aceleração brusca ou mesmo de estiramento de fibras situadas em posições centrais. Os locais preferenciais de lesão são a substância branca subcortical, o corpo caloso e o tronco cerebral.

 

Lesões Cerebrais Secundárias

 

Hematomas

Dos pacientes com TCE atendidos no HCFMRP-USP, 10% foram submetidos a tratamento cirúrgico, sendo que 53,5% apresentavam algum tipo de hematoma intracraniano.

Hematoma Extradural - resulta da ruptura de ramos da artéria meníngea média ou de seios durais e estão, geralmente, associados com fraturas lineares que cruzam o trajeto destes vasos e localiza-se entre a tábua óssea e a dura-máter.

A artéria meníngea média‚ ramo da artéria maxilar e penetra no crânio pelo forame espinhoso na fossa temporal. Irriga a dura-máter e situa-se entre a dura-máter e o osso. Com o passar dos anos passa a ter íntimo contato com o osso e corre dentro de um sulco ou mesmo dentro de um túnel no osso, tornando-se mais suscetível de ser lesada quando ocorre uma fratura. O sangramento ‚ rápido e os hematomas volumosos, em pouco tempo causam herniações do parênquima e determinam lesões irreversíveis do tronco cerebral. Geralmente, são acompanhados de pouca ou nenhuma lesão cerebral na fase inicial. O hematoma extradural correspondeu a 13,9% do total de casos operados no HCFMRPUSP, de 1990 a 1992.

Hematoma Subdural Agudo - o hematoma subdural agudo localiza-se entre a dura-máter e o encéfalo. Pode ter origem por sangramento resultante da lesão de vasos corticais, em uma área de contusão ou por rotura de veias emissárias por estiramento, quando da movimentação do encéfalo em relação ao crânio, na desaceleração ou aceleração no momento do trauma. A associação de contusão do lobo temporal e de hematoma subdural agudo, oriundo desta contusão recebe o nome de explosão do lobo temporal. O hematoma subdural agudo correspondeu a 26,9% do total de casos operados no HCFMRPUSP, de 1990 a 1992 (incluindo os casos em que estava associado a contusões do parênquima que, também, foram tratadas).

Hematoma Subdural Crônico - este hematoma não é uma evolução tardia do agudo, tem, em comum, somente a localização no espaço subdural. Ocorre nos extremos da faixa etária, após um traumatismo não importante, muitas vezes ignorado, com manifestação clínica dias ou semanas após. Caracteriza-se por uma coleção sanguínea liquefeita com poucos coágulos e delimitada por uma cápsula, tanto sobre o córtex como abaixo da tábua óssea. A sua formação‚ ainda é discutida. As duas teorias mais importantes para o seu aumento de volume são a absorção de liquido por efeito osmótico e a ocorrência de novas hemorragias no seu interior a partir de sua cápsula, que é a etiologia mais aceita. O hematoma subdural crônico correspondeu a 10,1% dos casos operados no HCFMRP-USP. 

Hematoma Intracerebral - resulta da ruptura de vasos no interior do parênquima cerebral, geralmente em áreas que previamente sofreram contusão cerebral, cuja causa ainda não está esclarecida, ou então devido à ruptura de vasos no interior do parênquima cerebral, provocada por cisalhamento, durante os movimentos de aceleração/ desaceleração Correspondeu a 2,6% do total de casos operados no HCFMRP-USP, de 1990 a 1992.

 

Tumefação Cerebral (“Brain Swelling”)

 

A tumefação representa a perda da autoregulação do fluxo sanguíneo cerebral, que resulta em uma vasoplegia com dilatação de todo o sistema vascular (ingurgitamento vascular), com conseqüente aumento da pressão intracraniana, por aumento de volume sanguíneo dentro da caixa craniana. Secundariamente, a esta vasoplegia, também, existe um extravasamento de líquido pura o interstício que resulta em edema cerebral. Esta alteração pode ocorrer, difusamente, no encéfalo ou em determinadas áreas que sofreram alguma agressão no trauma (por exemplo, uma área determinada do córtex, sob a compressão de um hematoma).

Edema Cerebral - no edema cerebral existe uma quantidade de líquido aumentada no parênquima cerebral, fora dos vasos e não deve ser confundido com a tumefação cerebral. O acúmulo de líquido no espaço intersticial resulta de uma alteração da permeabilidade capilar (edema vasogênico), que ocorre, principalmente, nas áreas pericontusionais, e pode piorar o efeito de massa de uma contusão cerebral. Outro tipo de edema observado é o citotóxico, em que ocorre o aumento de líquido no compartimento intracelular, causado por alteração dos mecanismos de transporte ativo de eletrólitos e água através da membrana celular (falência energética), quando a célula é submetida à hipóxia ou à isquemia.

 

Infecções

 

As meningites, abcessos e empiemas cerebrais ocorrem alguns dias após o TCE, e são mais freqüentes quando existem fraturas afundadas abertas, em que se estabelece uma comunicação do interior da caixa craniana com o meio externo ou com as cavidades aeradas da face e do crânio. As infecções podem agravar lesões cerebrais pré-existentes.

 

Hemorragia subaracnóidea

 

Uma ocorrência comum no TCE e acontece devido à ruptura de pequemos vasos no espaço subaracnoideo. Pode causar cefaleia e irritação meníngea, porém dificilmente leva a problemas maiores, como nas hemorragias por aneurismas.

 

Hidrocefalia

 

Dois tipos de dilatação ventricular podem ser observados em pacientes com TCE, geralmente tardiamente na sua evolução. A dilatação ventricular pode ocorrer porque o líquido cefalorraquiano ocupa o espaço deixado por perda de parênquima cerebral, principalmente na lesão axonal difusa (dilatação ventricular não hipertensiva), ou então pela obstrução de vilosidades aracnoideas, por sangue ou glóbulos brancos, que leva a uma hidrocefalia comunicante, com aumento da pressão intracraniana.

 

Hipóxia e/ou Hipercapnia

 

O paciente politraumatizado pode apresentar vários fatores que prejudicam as trocas respiratórias no pulmão (pneumotórax, fraturas de arcos costais, edema agudo de pulmão, obstrução de vias aéreas superiores por hemorragia, etc.). A hipóxia leva a alterações no metabolismo neuronal que passa a usar vias alternativas para a obtenção de energia que, entretanto, não é efetiva na compensação e o resultado final pode ser a morte neuronal. A retenção de CO2 leva a uma vasodilatação que provoca um ingurgitamento da circulação cerebral com aumento da pressão intracraniana (Miller, 1978). 2.3.2.7. Hipotensão Arterial.

A perda sanguínea por vários locais em um politraumatizado pode provocar queda na pressão arterial e redução da pressão de perfusão cerebral, principalmente quando os mecanismos de autorregulação do fluxo sanguíneo cerebral não estão funcionando, com prejuízo da função neuronal Miller, 1978).

3 Manifestações Clínicas:

 

Lesões Primárias:

 

Contusão Cerebral

Na contusão cerebral isolada, o paciente não apresenta alterações importantes no nível de consciência. As suas manifestações clínicas são os déficits neurológicos focais e as alterações mais comuns são decorrentes da perda de função dos lobos frontal e temporal (confusão mental, agitação, alterações na fala, desorientação e outras).

Lesão Axonal Difusa da Substância Branca

A manifestação principal desta lesão é a alteração no nível de consciência que ocorre no momento do trauma e pode persistir por um tempo variável, dependendo da intensidade da lesão. A alteração pode ser de curta duração, chamada no passado de concussão ou comoção cerebral, freqüentemente encontrada nos boxeadores e esportistas, ou pode ser de longa duração levando o paciente a um estado vegetativo permanente. No início do quadro, os pacientes com lesões mais graves, geralmente, apresentam alterações no controle da pressão arterial e distúrbios autonômicos.

 

Lesões Secundárias:

 

Tumefação Cerebral

A diminuição da perfusão cerebral leva à perda da função neuronal difusa que provoca alteração importante no nível de consciência, que difere daquela provocada pela lesão axonal, por ocorrer com algum intervalo de tempo após o traumatismo. Nos pacientes que apresentam fenômenos gerais, como hipóxia, choque circulatório e hipercapnia, a incidência da tumefação cerebral é maior.

Hematomas

As manifestações clínicas dos hematomas são resultantes do aumento da pressão intracraniana e da compressão de partes do encéfalo, especialmente do tronco cerebral, causada pelos deslocamentos das estruturas intracranianas.

O crescimento de um hematoma em um dos hemisférios provoca herniações do tecido cerebral para outros compartimentos, levando a distorções de estruturas e diminuição no fluxo sanguíneo e o conseqüente comprometimento da sua função. A lesão do tronco, em qualquer nível, tem como um dos sinais a alteração do nível de consciência e alterações da motricidade, acompanhada de sinais específicos correspondentes ao nível da lesão. A herniação transtentorial do uncus do hipocampo, inicialmente, comprime o nervo oculomotor homolateral (midríase unilateral, ptose palpebral e desvio externo do globo ocular). Progressivamente, a porção lateral do mesencéfalo vai sendo comprimida, provocando alterações motoras (hemiplegia e posteriormente posturas de descerebração), alterações do nível de consciência e do ritmo respiratório. As herniações também, podem levar a um deslocamento cefalocaudal do tronco cerebral e o sofrimento ocorrer em outras partes do tronco. A lesão do tronco. A lesão do diencéfalo caracteriza-se por déficit motor (tetraplegia ou hemiplegia), pela postura em decorticação e pupilas de tamanho intermediário e não reagentes à luz. As lesões pontinas manifestam-se por hemiplegia, rigidez em extensão e pupilas contraídas (puntiformes). No sofrimento bulbar, acontece o comprometimento de alterações pupilares e do ritmo respiratório.

O hematoma extradural, em sua forma clássica é caracterizado por um intervalo lúcido (período em que o paciente permanece consciente e assintomático), desde o trauma até o aparecimento dos sintomas. No hematoma subdural agudo, relacionado à contusão cerebral, o paciente já apresenta um sinal focal que se instalou no momento do trauma, e nos casos em que o sangramento ocorre por ruptura de uma veia a evolução é semelhante ao extradural. No hematoma subdural crônico, a evolução é mais lenta, o paciente queixa-se de cefaleia e déficit focal com evolução de alguns dias, podendo simular uma neoplasia ou mesmo um acidente vascular isquêmico.

4 Diagnósticos:

 

Clínico

A abordagem de um paciente com TCE inicia-se na obtenção de dados em relação ao traumatismo, principalmente o intervalo de tempo entre o acidente e o atendimento, o histórico de atendimento prévio se existente, as condições do paciente, imediatamente após o traumatismo, com ênfase no nível de consciência e déficits focais, com o objetivo de tentar diferenciar uma lesão primária de uma secundária. Um paciente, que tenha falado após o acidente, não pode ter uma lesão axonal difusa e um paciente que, no momento do trauma, estava bem e de pois piorou, apresenta uma lesão secundária. A possibilidade de lesões associadas deve ser considerada, bem como a maneira como aconteceu o traumatismo, para inferir-se quais mecanismos podem estar envolvidos.

lvidos. Em seguida, o couro cabeludo deve ser submetido a um exame minucioso na procura de ferimentos sangrantes ou que indiquem possíveis portas de entrada de algum instrumento pérfuro-cortante.

A avaliação seguinte é a do nível de consciência do paciente, que nos dará informações do funcionamento global do encéfalo. Uma contribuição importante para esta avaliação foi a escala de coma de Glasgow (Jennett & Teasdale, 1981); hoje aceita mundialmente e que tem por grande mérito retirar critérios subjetivos na avaliação do coma. A escala de coma de Glasgow é mostrada na Tabela 2.

Para a aplicação da escala de coma de Glasgow, deve-se, inicialmente, observar o paciente e verificar quais são as suas reações espontâneas. Depois mantém-se uma conversão pedindo a ele para abrir os olhos se fechados, para movimentar os membros ao comando e paira verificar se ele responde adequadamente a perguntas que indiquem a sua orientação. Caso não responda ao comando verbal realiza-se um estímulo doloroso, que deve ser feito através da compressão da unha com uma caneta e observa-se as respostas motora e verbal e a abertura ocular. A resposta motora deve ser obtida através de estimulação dos dois lados do corpo, pois a melhor resposta motora é a válida, caso haja diferença entre os dois dimídios. Para a diferenciação entre a flexão normal e a localização do estímulo, a estimulação deve ser efetuada, através da compressão da região supra-orbital. O paciente que localiza estímulos tentará levar a mão em direção a ele.

Alguns fatores podem prejudicar a interpretação da escala, como a presença de um tubo endotraqueal para ventilação artificial que impede a fala, edema orbital que pode impossibilitar a abertura ocular e a imobilização por fraturas. Nestes casos, deve-se anotar na escala que o item foi prejudicado, Estes problemas de maneira nenhuma invalidam o uso da escala, que pode ser usada pela equipe de enfermagem para a evolução do paciente durante a internação e uniformiza entre os médicos e os paramédicos a graduação do coma.

A escala varia de 3 até 15 pontos, e o coma é classificado de acordo com a pontuação, de 3 a 8 são os casos graves, de 9 a 12 intermediários (moderados) e de 13 a 15 casos menos graves (leves). Após a verificação do nível de consciência o próximo passo é a avaliação da existência de défi cits focais. A verificação de assimetria da força muscular é importante para a detecção de um comprometimento de neurônios do córtex motor ou fibras destas células que possam estar lesionadas por hérnias cerebrais, no seu trajeto em direção à medula. A presença de um hematoma deve ser sempre considerada diante desta ocorrência.

Tabela 2 - Escala de Coma de Glasgow

 

A seguir, deve ser feita a verificação do diâmetro pupilar e de sua resposta ao estímulo luminoso. A presença de uma pupila dilatada e não responsiva à luz deve alertar para a ocorrência de uma hérnia de uncus, como já citado anteriormente. Uma pupila miótica, também, pode significar compromentimento do tronco cerebral ao nível da ponte. Em pacientes comatosos, a avaliação dos reflexos de tronco cerebral nos ajuda a testar a integridade desta estrutura.

O reflexo óculo-cefálico é realizado, após descartar-se uma fratura da coluna cervical, provocando-se movimentos laterais da cabeça e acompanhando a movimentação do globo ocular, Caso ocorra uma movimentação do globo ocular em sentido contrário ("olhos de boneca") o reflexo está presente e significa integridade do arco reflexo, caso os olhos acompanhem o movimento da cabeça o reflexo estará ausente. A falta de função do tronco cerebral ocorre em casos graves e com prognóstico reservado.

 

Laboratorial

 

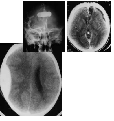
Radiografias Simples do Crânio

Um dado clássico da literatura é que a presença de uma fratura aumenta a possibilidade do paciente ter um hematoma em 400 vezes, em relação àquele que tem um exame radiológico normal Jennett & Teasdale, 1981). Porém, com a introdução de outros exames de imagem, a importância do exame radiológico simples do crânio diminuiu consideravelmente. As radiografias simples são indicadas impacientes com fístula liquórica, para estudar-se a localização e as características da fratura (Figura 2), em pacientes com ferimentos de couro cabeludo para a identificação de uma fratura afundada sob o ferimento ou quando um instrumento perfuro-cortante foi o causador do trauma (Figura 3) e, em pacientes que apresentam coma de etiologia não esclarecida, sem história definida, na tentativa de achar uma fratura e caracterizar o coma como traumático.

 

 

Tomografia Computadorizada (TC)

Representou um grande avanço no diagnóstico de lesões cerebrais pós-traumáticas devido à sua rapidez de execução, precisão diagnóstica e possibilidade de repetição do exame na evolução do paciente (Becker et al., 1982).

Na contusão cerebral (Figura 4 - esquerda) o achado é o de uma hipodensidade no local associada a pequenos focos de hiperdensidade (sangue), de diferentes tamanhos. Na evolução do paciente, pode ocorrer aumento da hipodensidade (edema) e do tamanho da área de hemorragia. A lesão axonal difusa (Figura 4 - direita)‚ caracterizada por pequenos focos de hemorragia no centro semi-oval, no corpo caloso, no tronco cerebral e nos pedúnculos cerebelares e, eventualmente, pode ocorrer também hemorragia intraventricular de pequena ou moderada intensidade. Quando a lesão é isolada não se observa diminuição das cisternas basais e dos ventrículos; nestes casos, é chamativa a gravidade do paciente associada a poucas alterações visíveis na tomografia.

 

 

Os hematomas agudos (Figuras 5 e 6) são visibilizados, como uma lâmina hiperdensa. Esta lâmina é convexa em relação ao parênquima no hematoma extradural, pois a aderência da dura-máter ao osso, limita o seu crescimento. Nestes, geralmente observa-se traços de fratura quando são realizados cortes com janela especial para visualização de osso. No hematoma subdural agudo, esta lâmina é côncava, pois não há limitação para o seu crescimento e o coágulo acompanha a curvatura do córtex cerebral. No hematoma subdural crônico (Figura. 6 - direita), a lâmina é hipodensa ou hiperdensa e, eventualmente, isodensa. Com a injeção do contraste endovenoso existe uma demonstração de sua cápsula ao redor.

Nos casos de tumefação cerebral (Figura 7), observa-se uma diminuição dos espaços que contém líquido cefalorraquiano, devido ao aumento de volume do parênquima cerebral e do sangue na microcirculação, que provoca um apagamento da imagem das cisternas basais e dos ventrículos cerebrais. O desaparecimento da cisterna da lâmina quadrigêmea é o indicador que melhor se relaciona com níveis elevados de pressão intracraniana. Existe, também, uma perda da definição dos limites entre as substâncias branca e cinzenta.

As lesões por projetis de arma de fogo (Figura 8) são bem visualizadas na TC, incluindo o trajeto e os ligamentos do projétil e na presença de hemorragias no parênquima cerebral.

As fraturas cominutivas do crânio , geralmente provocam solução de continuidade na dura-máter e muitas vezes são sugeridas pela presença de ar na cavidade craniana.

Outras complicações menos frequentes, como a hidrocefalia, as infecções (abscessos ou empiemas), e áreas de infartos secundários também são evidenciadas pela TC.

 

 

Monitorização da Pressão Intracraniana (PIC)

O registro contínuo da PIC incorporou-se à rotina no tratamento de pacientes com TCE grave, em virtude das várias informações úteis que pode fornecer. Após a caracterização morfológica das lesões pela tomografia computadorizada, a monitorização quantifica os níveis pressóricos intracranianos, o que permite estimar se o quadro clínico ‚ devido à hipertensão intracraniana ou se é devido a lesões estruturais. Uma vez constatados aumentos da PIC, a monitorização auxilia no seu controle, permitindo a verificação da sua evolução quando medidas terapêuticas são instauradas.

A monitorização pode ser feita de várias maneiras. A mais simples é a introdução de um cateter no ventrículo estabelecendo uma coluna líquida até um transdutor de pressão. Da mesma maneira, a pressão pode ser medida no espaço subaracnóideo, com a colocação de um parafuso perfurado em um orifício de trepano e, com abertura da dura-máter, estabelece-se uma coluna líquida entre o espaço subaracnóideo e o transdutor. Estes métodos apresentam problemas, pois a comunicação dos meios externo e interno pode ser causa de infecção, nos pacientes com TCE os ventrículos são pequenos e de difícil punção e, além disso, o parênquima cortical pode obstruir parcialmente o parafuso e provocar alterações na medida real da pressão. Métodos mais sofisticados surgiram para diminuir estes problemas, como a colocação do transdutor na ponta de um cateter de fibra óptica, o que toma o método mais fiel e permite a colocação do mesmo em qualquer compartimento, especialmente no espaço extradural, o que previne infecções.

Na avaliação do traçado de pacientes monitorizados, destaca-se a importância dos níveis pressóricos. Admite-se como normal até 10 mmHg; aumentos até 20 mmHg são considerados leves e, geralmente, não necessitam tratamento, de 20 a 40 mmHg são considerados moderados e, acima de 40, são considerados graves. Medidas anti-hipertensivas devem ser instituídas, quando a PIC ultrapassa 20 mmHg.

A interpretação dos dados fornecidos pela monitorização da PIC deve ser feita em conjunto com os outros dados clínicos e radiológicos disponíveis do paciente. É um método eficaz para lesões difusas, por‚m as lesões focais, como as temporais, podem causar compressão do tronco cerebral, sem que haja aumento na pressão liquórica nos ventrículos ou na convexidade.

Avaliação de Parâmetros Hemodinâmicos Cerebrais

Esta avaliação é uma evolução, em relação à medida de pressão, pois tem por objetivo a análise do metabolismo cerebral (Cruz, 1990 e 1993; Ribas & Mascaro, 1995). Duas abordagens podem ser feitas com este princípio. Uma delas é a medida do fluxo sanguíneo cerebral, através de imagens, como por exemplo com injeção endovenosa de xenônio radioativo e a sua viabilização, após a captação cerebral. A outra baseia-se na dosagem de substâncias (O2 e lactato) no sangue venoso da jugular comparando-se com a dosagem arterial e, a partir daí inferindo-se como está o metabolismo cerebral, através do maior ou menor consumo de O2 e da produção de lactato.

A partir destes estudos, duas situações foram observadas: os pacientes podem ter uma hiperemia que é responsável pelo aumento da PIC ou, menos freqüentemente, podem apresentar um hipofluxo sanguíneo cerebral, situação que contra-indica a diminuição do PCO2 indiscriminada, em todos os pacientes com TCE grave.

Um método simples é a medida da diferença arteriovenosa encefálica de oxigênio (extração cerebral de O2), que pode ser obtida pela diferença entre as concentrações arterial e venosa, sendo esta última obtida a partir da dosagem de O2 em amostra coletada no bulbo da veia jugular. Para isso o bulbo deve ser cateterizado retrogradamente a partir da jugular interna, sob controle radiológico. A extração cerebral de O2 expressa a extração global de O2 pelo parênquima cerebral e o seu valor normal é de 24 a 42 mmHg. O aumento ou a diminuição deste valor mostra, respectivamente, uma situ-ação de hiperemia ou de isquemia.

5 Tratamento:

 

Clínico

Na abordagem de um paciente com TCE, a primeira coisa a ser considerada é que muitas vezes ele apresenta lesões de outros órgãos, e deve ser abordado globalmente, com o objetivo de evitar o desenvolvimento de lesões cerebrais secundárias por hipóxia/hipercapnia ou choque circulatório.

A montagem de esquemas de atendimento adequado ao paciente, no local do acidente, e do seu transporte para centros capacitados ao atendimento de pacientes graves é fundamental. Os médicos devem se preocupar em estabilizar, hemodinamicamente, o paciente com a manutenção de um acesso venoso de grande calibre, garantir uma boa ventilação quando enviam pacientes para outros centros maiores, bem como acompanharem-no no trajeto para intercorrências que possam acontecer.

Medidas Gerais

A ventilação do paciente é fundamental nesta fase inicial, sendo recomendada uma pO2 mínima de 100 mmHg (Jennett & Teasdale, 1981). Tal abordagem visa impedir quedas súbitas de O2, até que o quadro esteja estabilizado. Se houver problemas pulmonares que impeçam estes valores, a ventilação mecânica com pressão positiva expiratória final (PEEP), com valores entre 5 a 7 cm H2O, pode ser instalada, pois estes valores não interferem na PIC (Cruz, 1993).

As condições cardiocirculatórias devem ser mantidas, evitando-se uma hipoperfusão cerebral. A cabeça deve ser mantida elevada, em relação ao corpo em 30º, para facilitar o retorno venoso.

Distúrbios hidreletrolíticos podem ocorrer e devem ser diagnosticados e corrigidos, principalmente na vigência do uso de substâncias, osmoticamente ativas, ou em alterações endócrinas como o diabetes insipidus e a síndrome de secreção inadequada de hormônio anti-diurético pós-traumáticos.

O uso de antibióticos só deve ser feito como profilaxia de procedimentos cirúrgicos ou quando existe a lesão da dura-máter com fístula liqüórica, causadas pelo traumatismo.

O uso preventivo de anti-convulsivantes, mesmo em pacientes com ferimentos abertos e com lesões corticais importantes, é controverso e a tendência atual é de não utilizá-los porque a frequência de paciente com crises convulsivas tardias é muito pequena para justificar o tratamento preventivo.

Medidas Específicas

O tratamento do TCE grave deve ser feito em unidades de tratamento intensivo, e a condição ideal é que o paciente possa realizar tomografias computadorizadas controle, quando necessário, tenha medida a sua pressão intracraniana, além de algum parâmetro hemodinâmico cerebral, como a extração cerebral de O2. A tomografia do crânio deve ser repetida nos casos de contusão cerebral, principalmente nos primeiros dias pelo risco de aumento da lesão, diante da piora clínica do paciente, ou quando o primeiro exame foi realizado com poucas horas de traumatismo e, ainda, não mostrava hematomas. Esta situação tem se tornado comum, pois os pacientes chegam com intervalo de tempo curto ao hospital e pelas facilidades atuais, o exame é realizado, imediatamente, após a entrada.

A manutenção da PIC, em níveis aceitáveis, deve sempre ser procurada e para isto pode-se usar a diminuição da pC02, comumente para níveis de 25 a 35 mmHg; valores mais baixos podem levar à lesão isquêmica, por vasoconstrição. Relatos da década de 70 indicavam que a hiperventilação possibilitava melhora de 30% da mortalidade para todos os pacientes mantidos neste esquema. Isto foi aceito até que, na década de 80 trabalhos, mostraram que alguns pacientes apresentavam uma situação de oliguemia cerebral, que contra-indica a diminuição da pCO2. A partir daí, surgiu o conceito de otimizar a ventilação controlando-se o valor da pCO2 a partir de dados da PIC, da TC e da extração cerebral de O2. Nos casos de pacientes com oliguemia, a pCO2 pode ser aumentada desde que ele não tenha aumento da PIC. Nestes casos, quando na TC as cisternas estão diminuídas, deve-se administrar manitol antes do aumento da pCO2 .

O uso do manitol deve ser entendido dentro deste conceito, ou seja, quando o controle com a ventilação não surte efeito, o manitol deve ser administrado sempre em bolo, e não vagarosamente, na dose de 1 a 2 g/kg/dia. O uso do manitol de horário, fora do conceito global, é empírico e admitido quando não se tem condições de realizar as monitorizações desejadas, especialmente a da PIC.

A sedação com o tionembutal é realizada para permitir que o paciente possa ser hiperventilado e diminuir suas necessidades metabólicas, o uso desta droga para diminuir a pressão intracraniana é efetiva, mas implica na realização de diversas monitorizações (débito cardíaco, EEG, PIC e outras), que toma o seu uso restrito. Entretanto, a evolução a longo prazo mostra que os pacientes com TCE grave, submetidos a esta terapia não foram beneficiados, em relação ao grupo controle.

6 Cirúrgico:

 

Os ferimentos do couro cabeludo apresentam importância pela grande vascularização desta estrutura e o conseqüente sangramento.

A hemostasia deve ser feita precocemente, ainda que através de curativo compressivo. Quando são extensos e com perda de substância podem ser necessárias a rotação de retalho ou a enxertia de pele para o seu tratamento. As fraturas afundadas do crânio, geralmente, requerem exploração cirúrgica para redução de fragmentos afundados, para a remoção de corpos estranhos, para a reparação da dura-máter e para a hemostasia de tecido cerebral lacerado. Quando o ferimento é aberto, estas lesões devem ser tratadas precocemente (primeiras 6 horas) para reduzir o risco de infecção meníngea.

As fístulas liquóricas traumáticas significam lesão da dura-máter e da aracnoide, além da lesão óssea.

As fístulas pelo ouvido, geralmente, melhoram espontaneamente, e raramente necessitam exploração cirúrgica para tratamento. A opção anterior à cirurgia é a colocação de uma drenagem lombar externa para reduzir a pressão liquórica e diminuir o débito da fístula, facilitando o seu fechamento. As fístulas nasais freqüentemente necessitam abordagem cirúrgica para sutura da dura-máter, principalmente nas de grande débito e nos casos em que as fraturas são importantes.

Os hematomas extradurais são lesões cuja evolução progressiva e rápida leva ao óbito, se não forem operados. Da precocidade da cirurgia (craniotomia com drenagem e hemostasia dos vasos sangrantes), depende a gravidade das sequelas. Quando operados, antes da instalação de lesões definitivas no tronco cerebral, o prognóstico é ótimo, caso contrário as sequelas são graves.

Os hematomas subdurais agudos, geralmente, são acompanhados de contusões corticais graves e apresentam mau prognóstico, mesmo com cirurgia precoce, com alta morbidade e mortalidade. A cirurgia preconizada é a craniotomia ampla com drenagem do hematoma e hemostasia dos vasos sangrantes do córtex cerebral. A abertura da dura-máter deve ser feita em etapas, pois é comum a ocorrência de tumefação cerebral com herniação do parênquima, após a descompressão pela drenagem do hematoma.

Os hematomas subdurais crônicos, geralmente são tratados através de trepanações com drenagem do seu conteúdo e lavagem da cavidade com soro. Diferentemente dos demais, muitas vezes estes hematomas apresentam recidiva e podem necessitar reoperações. Porém, raramente necessitam de craniotomia para a sua drenagem.

 Os hematomas intracerebrais e as contusões cerebrais podem necessitar de tratamento cirúrgico quando exercem efeito de massa e são volumosos. Nos últimos anos, estas lesões quando localizadas, na base do frontal ou no lobo temporal, têm sido tratadas com maior agressividade cirúrgica, para prevenir as hérnias cerebrais, pois a monitorização da PIC não é útil nestes casos.