A pele

Técnica de Massagem e Fichas de Avaliação e Mensuração

1 A pele:

A pele é a estrutura de revestimento de todo o corpo humano, que continua ao nível dos orifícios naturais, com as mucosas. É o órgão de maior superfície e peso no nosso corpo, se pensarmos que num adulto normal a sua extensão é, em média, de 1 a 2 metros quadrados, e o peso total de cerca de 15 quilos.

De acordo com a regra dos 9 de Wallace, a cabeça representa à volta de 9% da área total, as duas mãos 18%, a superfície anterior e a posterior do tronco 36%, os genitais 1% e os dois membros inferiores 36%.

A espessura da pele é variável em relação com a constituição individual e com as diversas regiões. Passa-se dos 0,5 mm no canal auditivo externo e nas pálpebras, aos 4 mm, aproximadamente, nas regiões palmares e na nuca.

Exteriormente, a pela não apresenta uma superfície uniforme e plana, já que se notam, distribuídos diversamente nas várias regiões, sulcos, pregas, relevos, depressões, etc.

As depressões punctiformes e muitíssimo pequenas correspondem às aberturas dos orifícios pilossebáceos, dos quais emana o sebo e emergem os pelos, e aos poros das glândulas sudoríparas.

As glândulas sebáceas estão espalhadas por toda a pele, com excepção das palmas das mãos e das plantas dos pés, e são particularmente numerosas nas chamadas regiões seborreicas (couro cabeludo, centro do rosto, queixo, dorso ou a superfície anterior do tórax).

As glândulas sudoríparas, muito mais numerosas, estão distribuídas em toda a superfície cutânea, excepto nos lábio, no clitóris e na glande, e apresentam máxima densidade nas regiões palmares e plantares.

Os sulcos superficiais dividem a pele em múltiplos pequenos espaços, conferindo-lhe um aspecto finamente reticulado, enquanto os sulcos profundos delimitam as chamadas cristas cutâneas, que nas polpas dos dedos se apresentam diversa e caracteristicamente orientadas conforme os indivíduos e se conservam idênticas durante toda a vida, de tal forma que se constituem a base do método de identificação mediante as impressões digitais.

As pregas observam-se ao nível das articulações (pregas articulares) e em correspondência com certos músculos (pregas musculares), especialmente os da mímica (face): vão se acentuando com a idade, devido à redução de tecido adiposo e à diminuição da elasticidade própria da idade senil.

2 Os pelos e a cor da pele:

A pele, com excepção das regiões palmares e plantares, é coberta por pelos divididos em lanugem e em pelos terminais, de maiores dimensões. Estes últimos são representados especialmente na cabeça (cabelos), nas axilas e na região do púbis, depois da puberdade. Nos membros, no rosto e no tronco são nitidamente predominantes nos homens.

Como sabemos, os pelos podem ter diferentes cores, desde o loiro ao castanho, passando pelo negro e pelo ruivo, segundo a maior ou menor quantidade de pigmento neles presente (característica racial).

Também a cor da pele varia em relação com a raça, idade, sexo e regiões corporais, dependendo predominantemente da quantidade de pigmentos (melanina, oxi-hemoglobina, hemoglobina reduzida, melanóide, carotenos) existentes.

A melanina é a denominação genérica de uma classe de compostos proteicos existente nos reinos Animal, Planta e Protista cuja principal função é a pigmentação e proteção contra as radiações ultravioleta. A falta de melanina dá origem a uma condição denominada de albinismo.

A melanina produzida pelos melanócitos é, porém, o mais importante e confere à pele a tonalidade castanha (vulgo, bronzeamento). As diferenças regionais da coloração relacionam-se também com a espessura da epiderme, que apresenta uma maior ou menor transparência.

Este é, por exemplo, o motivo pelo qual a pele das mãos e das zonas plantares apresenta um colorido amarelado.

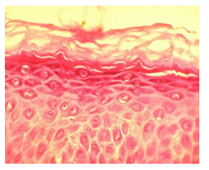
3 Constituição da pele:

Secção transversal da pele que mostra as camadas que a compõem:

1- Estrato córneo

2- Estrato lúcido

3- Estrato granuloso

4- Estrato espinhoso

5- Estrato basal

6- Derme

A pele apresenta-se constituída por uma camada epitelial chamada epiderme, cuja população celular se diferencia e renova constantemente, e por uma camada conjuntiva de suporte chamada derme, que representa o equivalente do estroma dos outros órgãos.

Das duas camadas, estritamente interdependentes, a epiderme está em contacto com o mundo exterior, enquanto a derme, situada mais profundamente, se encontra em condições ambientais análogas às dos órgãos internos. Esta situação particular esclarece-nos em parte sobre as várias funções que exerce como órgão de fronteira que nos defende das agressões externas e, ao mesmo tempo, sobre o contacto que estabelece com o mundo à nossa volta através da recepção dos vários estímulos sensoriais (térmicos, tácteis, dolorosos) e da sua transmissão ao centro.

Numa análise histológica aos dois sectores, nota-se, em primeiro lugar, que a epiderme é um epitélio pavimentoso estratificado, no qual, debaixo para cima, se reconhecem o estrato basal (ou germinativo), o estrato espinhoso, o estrato granuloso, o estrato lúcido e o estrato córneo.

Estroma é o tecido de sustentação de um órgão, ou seja, aquilo que serve para sustentar as células funcionais do órgão.

A epiderme adere fortemente à derme graças uma membrana basal a que é atribuída a função de regular as trocas metabólicas e nutritivas entre as duas secções.

A derme, também denominada córion, em que estão localizados os anexos cutâneos, é o componente mesenquimatoso da pele: é constituída por uma arquitetura vascular e fibrosa, por uma grande quantidade de células conjuntivas e por numerosas estruturas nervosas. Podemos distinguir-lhe três porções:

- Derme papilar (a mais superficial);

- Derme média;

- Derme profunda.

A derme papilar é assim denominada porque apresenta, em toda a sua extensão, inumeráveis pequenas saliências correspondentes às já mencionadas cristas cutâneas. Nas papilas dérmicas, subdivididas em vasculares e nervosas, estão contidos os corpúsculos do tacto.

A derme média e a derme profunda vão assumindo uma estrutura fasciculada, apresentando-se ricas de vasos sanguíneos cujo calibre é um pouco maior, de fibras nervosas e fibras musculares lisas.

A derme profunda liga-se, por sua vez, aos órgãos subjacentes, através de uma camada conjuntiva (hipoderme) composta mais ou menos abundantemente por tecido adiposo, em cuja contextura são contidos os músculos cutâneos e as bolsas serosas.

A arquitetura vascular cutânea é constituída por uma rede arterial, capilar e venosa, organizada em diversos retículos estratificados, dispostos em planos mais ou menos horizontais e paralelos a partir do tecido subcutâneo, ou então com orientação diferente, se vão irrigar um anexo cutâneo.

Dos ramos que irrigam o tecido subcutâneo vai formar-se um plexo cutâneo no limite dermo-hipodérmico, donde depois partem ramos sucessivos que atingem a papila dérmica, criando por sua vez um plexo que finalmente dá origem os vasos terminais que vão formar a rede subepidérmica.

4 Funções da pele:

A pele é um órgão provido de riquíssima inervação, proveniente do sistema cerebrospinhal e do sistema vegetativo. As fibras cerebrospinhais são predominantemente sensitivas, as fibras vegetativas, por seu turno, inervam as arteríolas, os músculos erectores de pêlos, as células contrácteis das glândulas.

As múltiplas estruturas nervosas estão irregularmente entrelaçadas entre si, de modo a formar uma rede, difundida em todos os estratos cutâneos, de extraordinária vastidão. Prosseguindo para a superfície, as fibras sensitivas tornam-se cada vez mais delgadas e, sob a forma de terminações livres ou corpúsculos sensoriais, terminam nas várias camadas da derme, em torno das células epidérmicas e dos folículos pilíferos.

É graças a esta teia de fibras sensitivas que a pele responde aos estímulos do ambiente exterior, mediante quatro modalidades sensoriais principais: tato, calor, frio e dor. As quatro modalidades nem sempre são verdadeiramente dissociáveis entre si, já que a natureza, a intensidade e a duração de um estímulo podem provocar simultaneamente sensações térmicas, tácteis e dolorosas.

De qualquer forma, para cada modalidade a superfície cutânea é dotada de um mosaico de pontos altamente sensíveis. Além da delicadíssima função sensorial, que a torna num verdadeiro órgão dos sentidos, a pele exerce diversas outras funções:

- Órgão de proteção, em virtude da sua extensibilidade e elasticidade, seja dos órgãos profundos em caso de traumatismos, seja, mediante os pelos e as unhas, de zonas particulares do corpo;

- Órgão de respiração, dadas as suas propriedades de absorver oxigênio e de libertar dióxido de carbono;

- Órgão de secreção e de excreção, mediante as glândulas sudoríparas e sebáceas;

- Órgão termorregulador, podendo aumentar a dispersão do calor, mediante a vasodilatação e a secreção do suor ou, pelo contrário, podendo diminuir a dispersão através da vasoconstrição;

- Órgão de absorção, especialmente de substâncias oleosas e voláteis. Esta característica, enquanto por um lado pode ser explorada com fins terapêuticos, por outro pode determinar fenômenos de intoxicação geral.

5 Lesões primárias e secundárias:

Posto tudo o que anteriormente foi aqui exposto, é óbvia a necessidade de que a pele se mantenha limpa e sã. Para que possa cumprir a função de proteger organismo, precisa de ser, por sua vez, protegida com o maior cuidado.

As lesões elementares características da pele, que irão caracterizar depois os diversos quadros patológicos cutâneos, são:

• Eritema – avermelhado transitório que desaparece à pressão;

• Rash – elevação fugaz e pruriginosa provocada pela formação de um edema circunscrito na derme, típica da urticária;

• Vesícula – pequeno relevo superficial constituído por uma cavidade contendo líquido claro que constitui a lesão elementar própria de várias dermatoses como o eczema ou o herpes (simplex e zooster);

• Bolha – só difere da vesícula pelas suas maiores dimensões;

• Pápula – saliência sólida de pequenas dimensões, que regride sem deixar cicatrizes;

• Pústula – pequena coleção de exsudado purulento contida na epiderme;

• Nódulo – lesão elementar sólida situada na derme, de consistência compacta, que se diferencia da pápula pelas maiores dimensões, pela maior profundidade e pelo resultado em geral cicatricial. Manifestações nodulares manifestam-se na tuberculose, na lepra, na sífilis terciária, no lúpus vulgar

Ao lado das lesões elementares, que conferem a uma dada doença cutânea uma morfologia precisa, deve-se depois ter presente o cortejo de lesões secundárias que são entendidas como uma fase evolutivas das precedentes:

• Crosta – forma-se por concreção de soro, pus ou sangue que seca à superfície cutânea. Pode seguir-se a uma vesícula, a uma bolha ou a uma pústula. Pode ter tamanho, forma, coloração e consistência variáveis. Também as erosões e as ulcerações são muitas vezes recobertas por formações crostais;

• Rágada – solução de continuidade linear da superfície cutânea determinada na espessura do tecido pela perda da sua normal distensibilidade. Pode ser mais ou menos profunda: se limitada à epiderme, é seca e não dolorosa; se atinge também a derme tem fundo vermelho e sangrento e é intensamente dolorosa: as regiões palmares e plantares, as comissuras labiais, o mamilo, a borda do prepúcio e as pregas anais são as zonas mais frequentemente atingíveis;

• Erosão – perda de substância superficial secundária a bolhas ou a pústulas, que regride sem cicatrizar mas com a formação de uma crosta. Pode igualmente surgir após traumatismos ou após arranhões (neste caso devem ser chamadas escoriações e têm uma disposição linear característica devida à descarnação produzida pela unha);

• Ulceração – aqui a perda de substância é profunda, com pouca tendência para a regressão espontânea. Atinge a derme e eventualmente a hipoderme e pode segregar um líquido seroso, seropurulento ou francamente purulento e hemorrágico, e cobrir-se de uma crosta. Pode ser dolorosa e espontânea, como a úlcera tuberculosa, ou só à pressão, como a úlcera venérea;

• Cicatriz – lesão secundária devido à reparação de uma lesão de continuidade.

Existem igualmente lesões que podem surgir seja como lesões primárias, seja como lesões secundárias a outros elementos:

• Mancha – modificação da coloração normal que não desaparece à pressão;

• Liquenificação – espessamento da crosta com acentuação dos sulcos e relevos cutâneos normais;

• Vegetação – excrescência da pele ou das mucosas;

• Atrofia – redução da espessura pele;

• Esclerose – aumento de consistência da pele, pelo que esta se torna dura e aderente aos espaços pequenos.

À parte são classificados o cunículo da sarna e a crosta da tinha, lesões típicas destas afecções e de absoluta certeza diagnóstica.

6 Outras Lesões referente a pele:

Mas o número de doenças na pele é verdadeiramente notável. Deixamos alguns exemplos:

• Genodermatoses - compreendem as malformações e as doenças cutâneas devidas à transmissão hereditária de caracteres patológicos a nível genético, cromossómico ou citoplasmático (ictiose vulgar, epidermólise bolhosa, síndroma de Ehlers-Danlos);

• Dermatoses por causas físicas - compreendem diversos quadros patológicos, provocados pela acção de agentes físicos ou artificiais (frio, calor, traumatismos mecânicos, energia radiante), cuja intensidade supera as barreiras normais de defesa da pele;

• Fotodermatoses – neste tipo de doenças, a luz constitui, com modalidades diversas, um fator determinante ou desencadeante;

• Dermatoses por vírus – herpes simplex ou zooster, varicela, varíola, verrugas, papilomas, condilomas, afta epizoótica;

• Dermatoses piogenicas – causadas na maioria dos casos por estreptococos (impetigo, carbúnculo, sicose, furúnculo, folicolite, erisipela);

• Zoonoses – grupo de afecções cutâneas que podem surgir no Homem por infecções contraídas de animais;

• Micoses cutâneas – doenças dos fungos parasitas da classe dos actinomicetos e ficomicetos, que representam uma fonte copiosa de afecções cutâneas.

Estreptococos – tipo de bactérias que causam doenças no ser humano. A maioria das espécies, no entanto, é inofensiva. São dos patógenos mais comuns.